電子タバコと歯周病
歯科衛生士の山本です。
最近「電子タバコに、変えました。」と話される方が増えました。
なぜ電子タバコに変えたかお聞きすると、
ほとんどの方が
「普通のたばこよりは害が少ないでしょ」
「禁煙しようかなと...」 とのこと
きっと同じように思われた方が多くいらっしゃるのではないでしょうか。
新型タバコには加熱式タバコと電子タバコと2つあります。
加熱式タバコ(アイコス、glo、PloomTECH)とは、
タバコ葉を電気で加熱し発生した蒸気(エアロゾル)を吸引するものです。ニコチンの摂取量は普通のタバコより少ないもののニコチンの血中濃度が一定に達しないと満足感が得られないため本数が増えがちになり(摂取量が増える)ニコチン依存が同じ様に起こります。
電子タバコとは、カートリッジの液体を電気で加熱し、ミスト状になった目に見えない煙(エアロゾル)を吸うものです。(タバコ葉不使用のためタバコ類似品として扱われています)日本で流通する電子タバコは、ニコチンは含まれてはいないが煙の中にはホルムアルデヒド等の発がん性物質を多く含んでいます。
よく宣伝で、『有害物質が少なく、健康被害が少ない』というメッセージがつかわれているため、健康に悪くないのではと信じているかたが多いと思いますが、
電子タバコで注意しなくてはいけないことは、
普通のタバコに比べて有害物質が少ないことは
病気になるリスクが普通のタバコに比べて低いことを意味するわけではないということなんです。
加熱式タバコから出る有害物質の量は普通のタバコに比べて、少ない物質とそうでない物質の量は同様に多いです。
実は、アイコスと普通のタバコによる血管内皮機能への影響(心臓病や
動脈硬化の原因となる)を調べた研究結果では、普通のタバコと同様に
血管内皮機能が低下したことがわかっています。
そして周囲への影響はというと…
煙がほぼ出ない電子タバコ、は周りに影響がある副流煙はほぼありませんがその代わりに、小さなより見えないエアロゾル(ミスト)が拡散しています。
タバコの成分
| 成分名 | 身の回りの例 |
| ホルムアルデヒド | 防腐液 |
| アンモニア | 悪臭、刺激臭 |
| トルエン | シンナーの主成分 |
| フェノール | 殺虫剤の主成分 |
| ベンゼン | ガソリンの成分 |
| ジアン化水素 | ねずみ駆除剤 |
| カドミウム | 有毒金属、イタイイタイ病 |
| 一酸化炭素 | 車の排気ガス |
| ダイオキシン | ごみの焼却からでる猛毒 |
| プロピレン | グリコール不凍剤 |
| アクロレイン | 繊維処理剤の原料 |
| ベンズアルデヒド | 香料で使用(安息香酸) |
このエアロゾルにも、ニコチン、ニトロソアミン、ベンゾピレン、ホルムアルデヒドホルムアルデヒド、アクロレインなどが含まれます。
目にみえない...その方が怖い気もしませんか?
やはり、普通のタバコも電子タバコも健康への影響、周囲への影響はあるということなんです
タバコの最初の入り口は お口です
口腔内に影響がないはずがありませんよね!!!
タバコはお口の中にはさまざまな害を及ぼす影響があります。
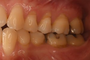
その代表が『歯周病』なんです!

タバコの煙には約4000種類の化学物質と約200種類の有害物質と
50種類以上の発がん性物質が含まれています!
タバコを吸うとニコチンにより血流が悪くなり、 一酸化炭素により酸素の供給も妨げられ、タールの粘着性により歯垢が付きやすくなり、また免疫力が下がるため炎症を起こしやすくなります。
歯周病は慢性的に進行しやすいためあまり自覚症状が現れにくい病気ですが歯茎の腫れやブラッシング時の出血により気づくことが多い病気です、
しかし、喫煙するとニコチンによる血管収縮により歯ぐきが貧血状態になり
進行しているにも関わらずこういったサインが出にくく、
メラニン色素により歯ぐきが黒ずんでいて見た目でもわかりにくく、そのため発症や進行の自覚がないために重度になってから気づくことが多いです。
また治療をしても非常に治りが悪くなかなか治らないまま歯を失いかねません。
タバコを吸うことを止めた方がいいことは間違いありませんが、
なかなか踏み切れない方も多くいらっしゃると思います。
自分自身のお口の中の状態を知ることで意識が高まり、また定期的に
クリーニングをしてきれいなお口の中を維持することにより私たちにも禁煙のサポートができればと思っています。特に喫煙者の方は喫煙の陰に隠れてしまった歯周病のサインを早く見つけることのできる定期的なメンテナンスを受けることはとても大切です。
当医院では無理のない一人一人に合わせた指導を行っておりますので是非ご相談ください。

















